1. Što je ShapeMySmile metoda?
To je proces neinvazivnog uljepšavanja osmijeha koji su osmislili dr. med. dent. Novak Dario i poliklinika Dentum.
Protokol se sastoji od 3 koraka:
a. Prvi je digitalna simulacija koja nam omogućuje da zajedno s pacijentom na vizualnim konzultacijama dobijemo dojam onoga što je moguće postići kompozitnim ljuskicama. U tom se posjetu koriste fotografije pacijenta kako bi se uz sofisticirani program smile design dobio prvi vizualni uvid u konačan rezultat i prije samoga početka izrade. Tako pacijenti dobiju dojam svog budućeg osmijeha i što je moguće, a što nije već prije samog početka terapije.
b. Mock-up – Probno nošenje – prije konačne izrade pacijenti imaju mogućnost isprobati nove zube. Privremenim postavljanjem dizajna u usta pacijenta (do nekoliko sati), on može dobiti konačan dojam svog novog osmijeha i ako treba, u posljednji tren još odlučiti o dodatnim promjenama. Mock-up pacijent može samostalno skinuti taj isti dan ili ako se tako osjeća sigurnije, to možemo napraviti i u ordinaciji.
c. Postupak injektiranja je dio u kojem se na zube trajno lijepe kompozitne ljuskice metodom injektiranja.
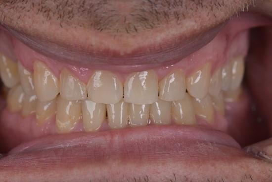
Pri izradi novog osmijeha koriste se digitalni postupci 3D dizajniranja, čiji je rezultat ispis modela s konačnim izgledom zubi. Preko tog se modela uzima otisak u prozirnom silikonu i on služi kao kalup u koji se injektira kompozit te tako kompozit na Vašem zubu poprima oblik kalupa (dizajniranog na prvom terminu). Na fotografiji možete vidjeti primjere izgleda početne situacije, digitalnog dizajna, ispisanog modela i konačnog rezultata.
2. Koliko je injectible trajan i o čemu to ovisi?
Moji su najstariji slučajevi stariji od četiri godine i dalje ne vidim dan kada će oni dotrajati odnosno ne vidim razlog njihovu ne trajanju. Uzimajući u obzir da je zub ispod toga intaktan, rekao bih da je trajnost sigurno do 10 godina.
Ovo je pacijentica s bruksizmom koji smo rehabilitirali ortodontskom terapijom i na kraju kompozitnim ljuskicama. Znači, vidljivo je da funkcionira i kod rizičnih pacijenata (ako ih rehabilitiramo).
Raspravljajući o trajnosti kompozitnih ljuskica, moramo razmisliti o nekoliko stvari, a to su; materijal, situacija, funkcija i navike te motivacija pacijenta.
– Materijal: GC je razvio nanohibridni materijal s visokim postotkom punila u injekcijskom obliku koji se zove GC universal injectable i taj materijal ima ogromne prednosti nad klasičnim kompozitima, to su dugotrajni sjaj, velika čvrstoća i otpornost na lom.
– Situacija: Ako je početna situacija pacijenta nepovoljna i postoje rizični čimbenici koji nisu razriješeni, takvi slučajevi nisu pogodni za kompozit (tu mislim na navike pacijenta, bruksizam, kisele napitke, kiseli refleks (erozije itd.) te se najprije moraju riješiti ti problemi prije postavljanja kompozita.
– Funkcija je izrazito bitna za trajnost kompozita. Zbog niže čvrstoće od zuba, ne možemo očekivati da će moći nadoknaditi izgubljeno zubno tkivo ako nismo pacijenta rehabilitirali, znači bruksist koji je pojeo svoje zube, pojest će i sve kompozite. Postoje načini na koje se i to rješava, ali zahtijevaju multidisciplinaran pristup.
Primjer pacijentice s kompozitima na svim gornjim i donjim zubima kao konačno rješenje nakon erozije i bruksizma (terapija – mijenjanje navika, ortodontska terapija i kompoziti): Follow up – više od 4 godine zasad – funckionira!
3. Kako odaberete boju i koliko boja koristite?
Posebno je svojstvo materijala biomimetska sposobnost – mogućnost poprimanja boje zuba ispod kompozita i konačna je boja zuba između boje kompozita koji je korišten i boje zuba. To olakšava izbor boje jer uvijek koristim A1 i B1 i ništa drugo. Upravo zato što će kompozit kameleonski poprimiti točnu nijansu zuba.
Primjer kompozita B1 kod dva različita pacijenta, na kraju dobijemo potpuno drugu boju, i upravo je tu vidljiva ta širina mogućnosti adaptacije ovisno o situaciji. Na prvoj fotografiji žena koja ima žućkaste zube na kraju dobije mrvicu svjetlije zube (pogotovo incizalno gdje nema zuba ispod), ali je ton žut, dok su u drugom slučaju zubi više u spektru bijele ili sive boje te taj konačan rezultat daje dojam svjetlijih (odnosno bjeljih zuba) iako je korišten isti kompozit B1.

4. Kontraindikacije?
Kontraindikacije su sve što nisu indikacije. 🙂
Neliječeni bruksizam, promijenjena boja zuba (kompozit ne može promijeniti boju zuba kao što može krunica ili ljuskica, znači liječeni zubi su out), zubi koji su izgubili većinu strukture (ogromni ispuni), loša higijena i manjak motivacije, velika promjena položaja zuba (indikacija za ortodontsku terapiju pa možda nakon toga kompoziti).
Indikacije su:
Pacijenti nakon ortodontske terapije (idealni slučajevi), pacijenti s dijastemama i svi ostali aditivni slučajevi (dakle sve situacije u kojima bismo uz isključivo dodavanje materijala dobili dobar konačan rezultat).
Primjer promjene kontraindikacije u indikaciju nakon ortodontske terapije
Primjer pacijenta s lošom higijenom, vidljivom erozijom i potencijalnim bruksizmom, zagrizom i nakon ortodontske terapije imamo rehabilitiranog pacijenta s boljom higijenom i funkcijski stabilnog.
5. Nošenje udlage nakon izrade?
Ne običavam raditi udlage pacijentima jer mi najveći broj pacijenata za injekcijsku tehniku dolazi uglavnom nakon ortodontske terapije, što znači da oni nakon što napravimo kompozite i dalje tijekom noći nose ortodontske retainere koji u načelu imaju i zaštitnu funkciju.
Relaksacijsku udlagu obavezno radim kod pacijenata bruksista, ali možda njih 20 % nosi tu zaštitu.
6. Što ako mi se slučajno odlomi komad ljuskice?
Ništa strašno :). Kompozit je kao materijal iznimno čvrst, ali uvijek je moguće da se dogodi nezgoda, u tom slučaju ne treba očajavati jer ćemo u klinici i dalje čuvati Vaše modele po kojima smo napravili zube i u samo nekoliko minuta pokrpati oštećeni dio ljuskice bez ikakvih vidljivih razlika. Jamstvo na besplatan popravak je do dvije godine uz redovite kontrole.
7. Kakvo je stanje mogu zuba ispod ShapeMySmile-a?
Zub je u ovoj metodi maksimalno pošteđen dodatnih intervencija upravo zbog toga što se ovaj postupak provodi neinvazivno odnosno aditivno, što bi značilo da se materijal isključivo dodaje na zub bez oduzimanja postojećeg zubnog tkiva. Materijal je poluproziran, pa ako i budu postojale potrebe za nekakvim intervencijama (kao karijes), vrlo jednostavno ga možemo uočiti i vrlo lako intervenirati.
8. Održavanje? Postoji li posebna briga oko novih ljuskica i zubi? Mogu li koristiti konac između zubi?
Preporučuje se da pacijenti održavaju kompozitne ljuskice kao i svoje zube, redovitim pranjem zubi mekšom i manje abrazivnom četkicom i pastom te redovitim korištenjem konca između zubi. Korištenjem ove metode izrade zubi i dalje ostaju odvojeni, tako da je moguće koristiti konac. Posebno se preporučuje pacijentima da u početku dok se ne naviknu na novu veličinu zubi koriste udlagu koja se može dodatno napraviti na kraju postupka i nose ju tijekom noći. Tom se udlagom nove ljuskice štite od potencijalnih nezgoda dok se mišići ne nauče na novu dužinu i veličinu zubi. Također, preporučujemo oprez pri zagrizu i odgrizanju hrane kako bi se mišići naviknuli na novu funkcionalnu dužinu zubi te tako izbjegavamo potencijalne nezgode i pucanje materijala.
Uvijek ste dobrodošli na besplatan prvi pregled u stomatološku kliniku Dentum iz Zagreba!


















